Réhabilitation globale
À Amiens, le Docteur Malthieu vous guide en matière de réhabilitation globale. Cette approche holistique de la dentisterie vise à améliorer l’apparence, la fonction et la santé bucco-dentaire générale, en tenant compte de l’ensemble de votre bouche, pas seulement des dents isolées.

Réhabilitation Globale : Une solution complète pour votre sourire
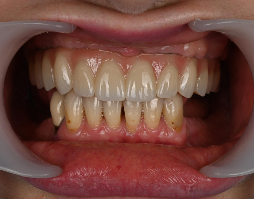
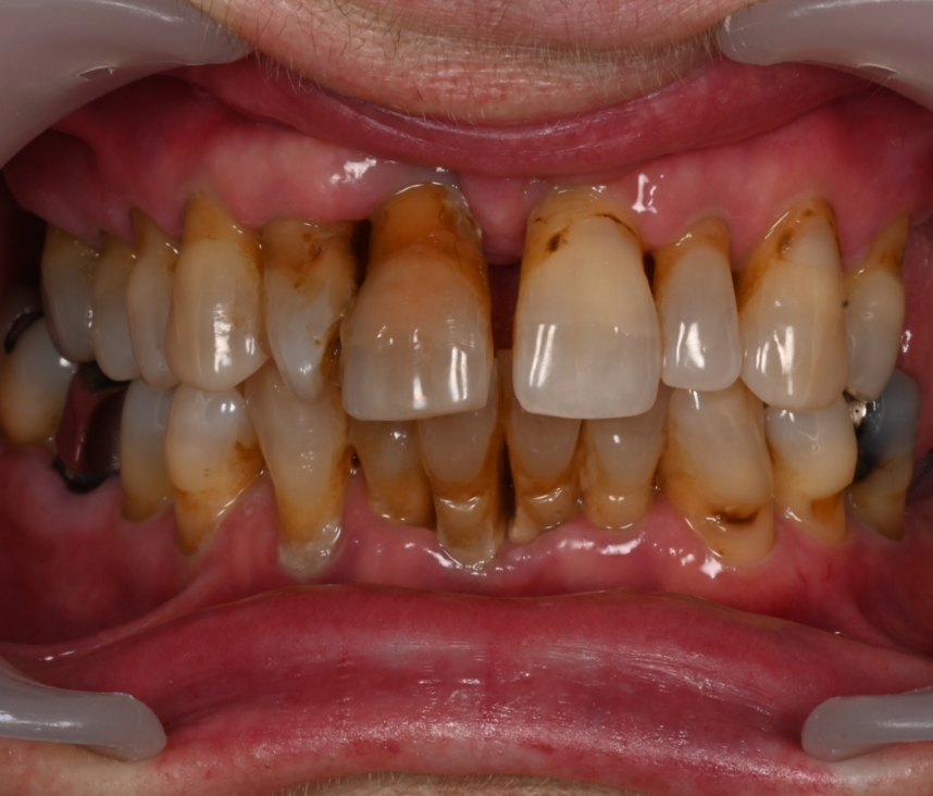
La réhabilitation globale est une solution complète pour ceux qui ont des problèmes de santé bucco-dentaire multiples et complexes. Elle consiste en un plan de traitement personnalisé, conçu pour traiter toutes les affections dentaires en une seule fois. Cette approche globale permet de restaurer l’harmonie du sourire, tout en améliorant la santé bucco-dentaire de façon durable.
Au cabinet dentaire du Docteur Malthieu, nous croyons fermement que la réhabilitation globale est souvent la meilleure voie à suivre pour nos patients. Elle offre des avantages indéniables, notamment une efficacité de traitement accrue et des résultats durables. La réhabilitation globale peut traiter simultanément plusieurs problèmes, ce qui minimise le nombre de visites nécessaires et réduit les délais de guérison.
Docteur Malthieu : Votre allié pour une réhabilitation globale réussie
La réhabilitation globale nécessite une expertise et une expérience spécifiques, que le Docteur Malthieu possède sans conteste. En combinant son savoir-faire en dentisterie avec une approche bienveillante et patiente, il peut vous aider à atteindre un sourire sain et éclatant.
Que vous souffriez de problèmes d’occlusion, de perte de dents, de maladie parodontale, ou d’autres problèmes dentaires, une réhabilitation globale pourrait être la solution pour vous. Au cabinet dentaire du Docteur Malthieu à Amiens, nous sommes fiers de pouvoir proposer cette approche intégrée à nos patients.
En somme, la réhabilitation globale offre une solution tout-en-un pour traiter divers problèmes de santé bucco-dentaire. Avec le Docteur Malthieu à Amiens, vous pouvez être assuré que vous bénéficierez d’un traitement complet et de haute qualité. Contactez-nous dès aujourd’hui pour planifier votre consultation et commencer votre voyage vers un sourire sain et confiant.
À découvrir également : Parodontologie
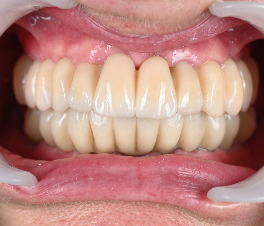
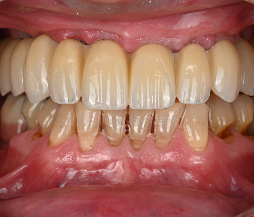
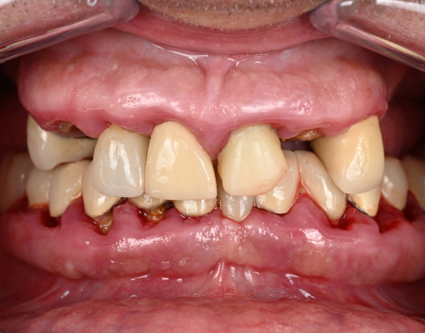
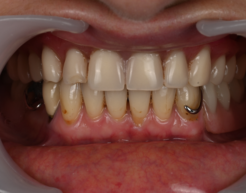
Cas cliniques